ID:618
開咬
上顎前突(出っ歯)

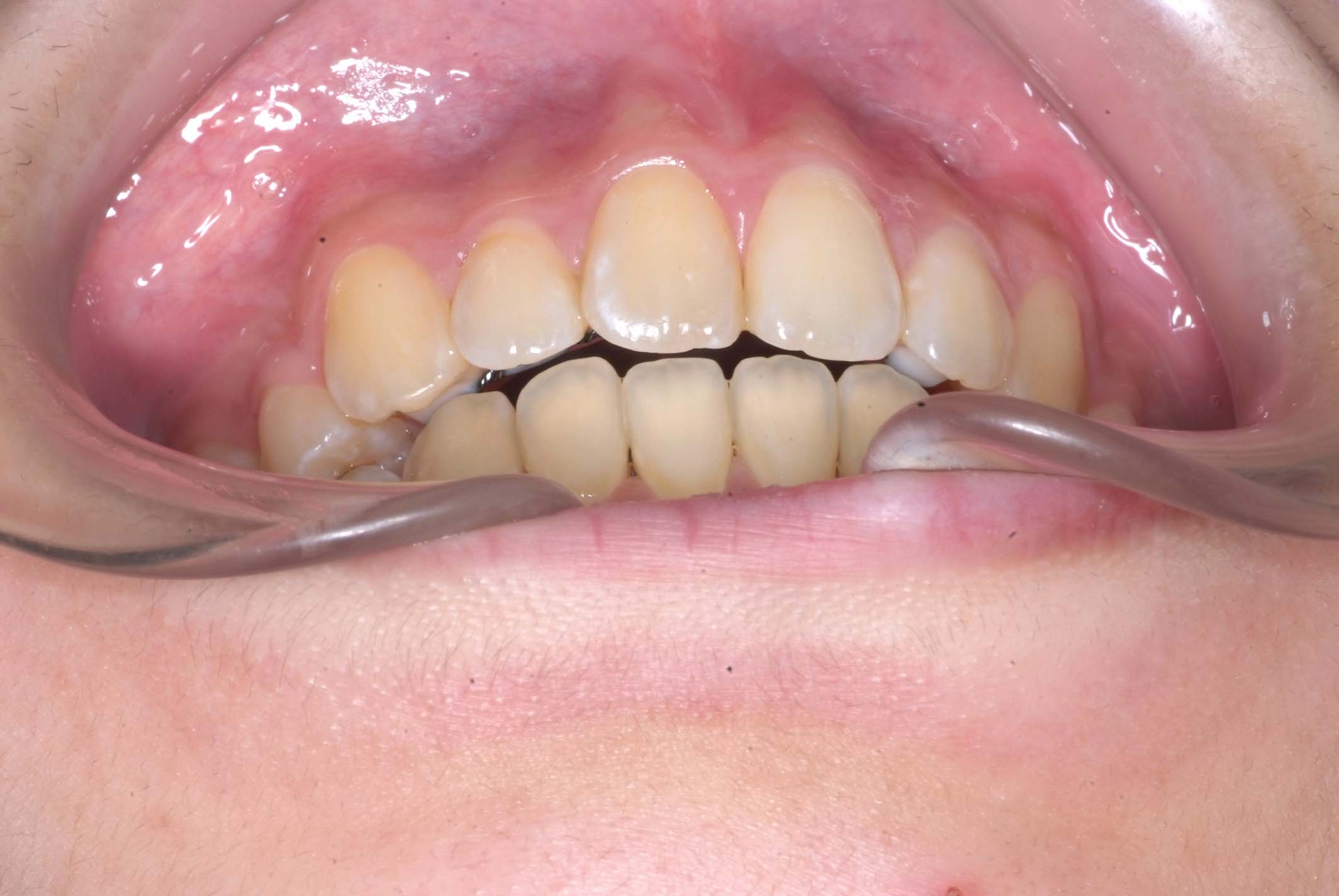
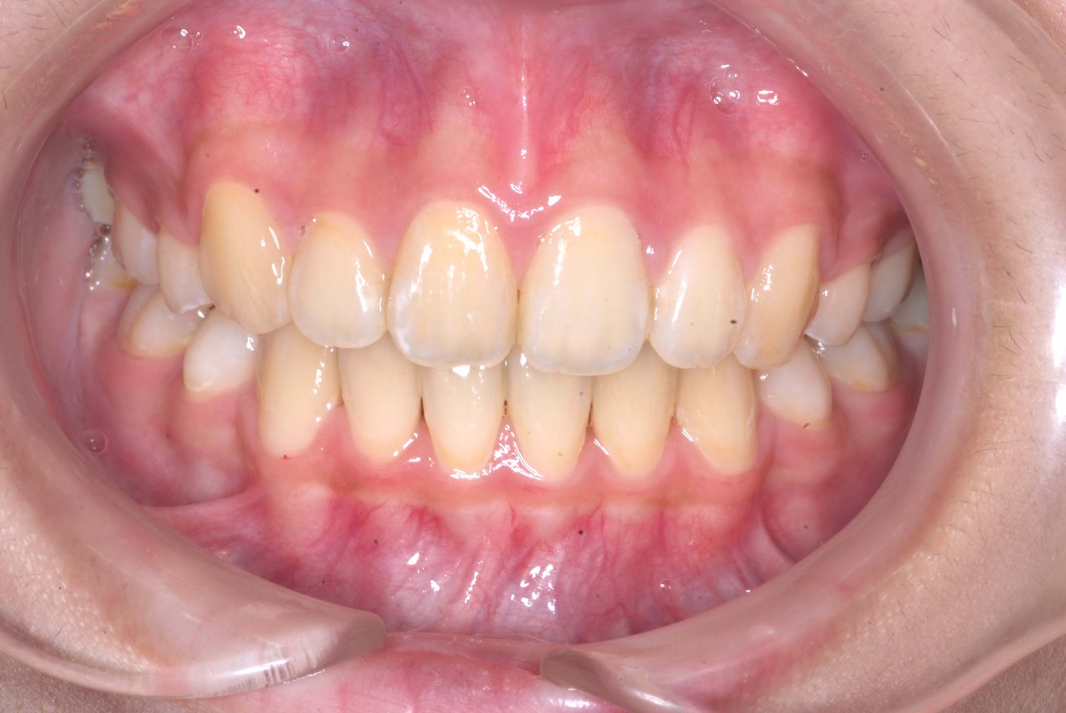
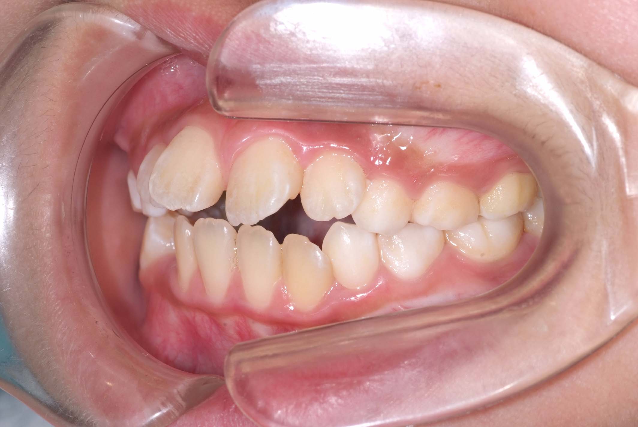
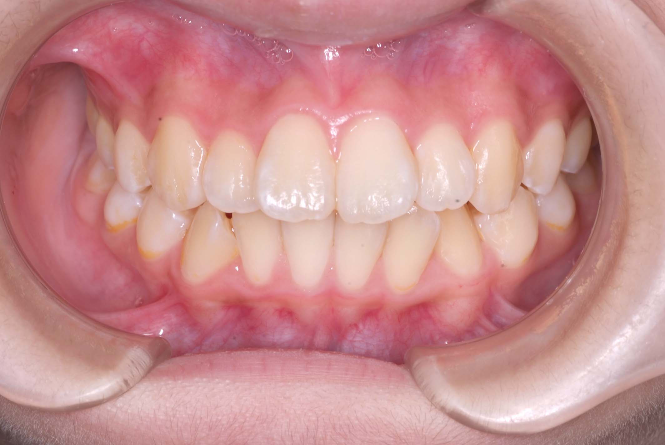
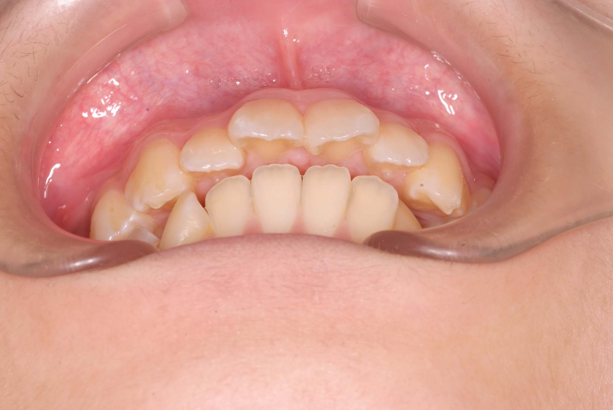
初診時年齢8才の女子で、前歯部開咬を気にして来院されました。
検査の結果、前歯部開咬と正中離開と上下顎前歯唇側傾斜を伴うアングルⅡ級1類不正咬合と診断しました。
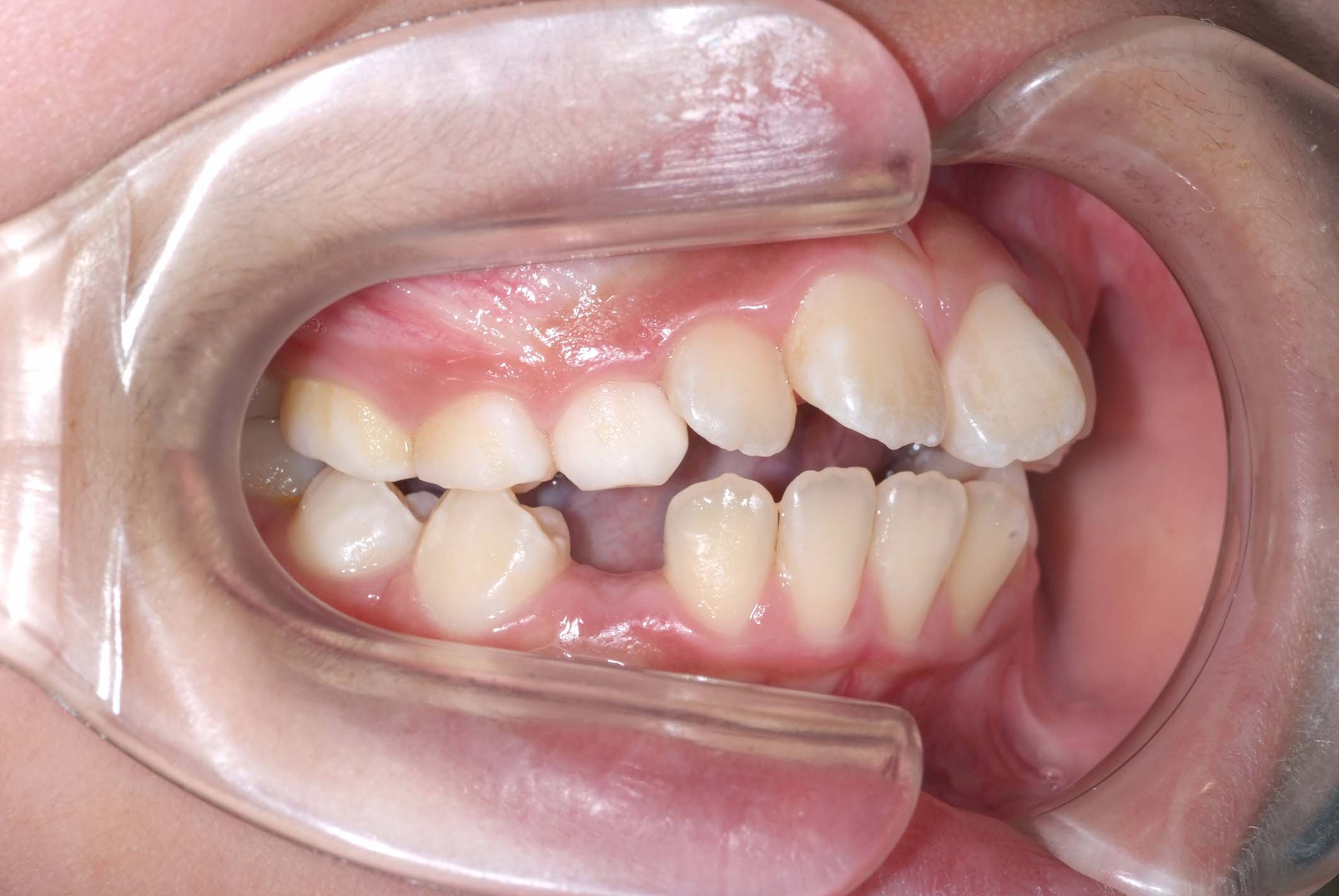
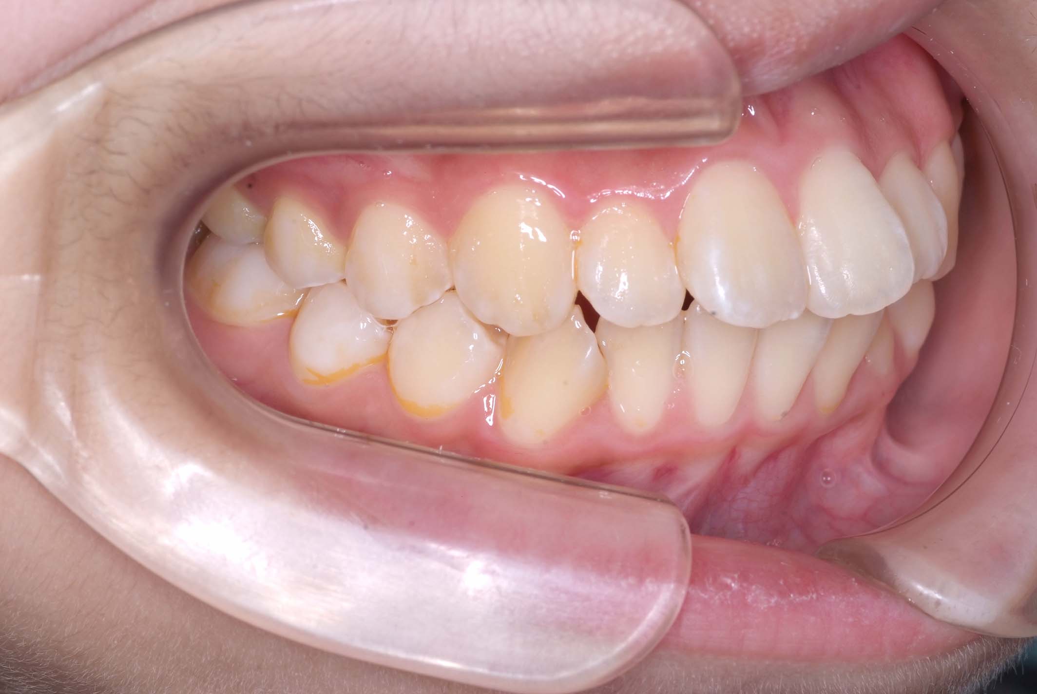
前期治療は、リンガルアーチで正中離開を改善し、その後は歯列矯正用咬合誘導装置(マイオブレース)を使用して舌のトレーニングを行いました。後期治療は、上下左右4番を抜歯の上、セルフライゲーションブラケット装置(クリアティ・ウルトラ)で行いました。治療期間は前後期合わせて6年6ヶ月でした。通院回数:60回。
歯列矯正を始めるに当たって、後戻り・失活・虫歯(歯周病)・歯根吸収・ブラックトライアングル・歯肉退縮・顎関節症などのリスクがあることを説明し、患者さんには十分ご理解頂いた上で治療を行いました(以下もご覧ください)。
費用 基本料金:710,000円 調節料:5,000円/月
※記載している治療費用は、治療当時の価格(税抜価格表示)となります。現在の費用は治療費のページでご確認くださいませ。