ID:616
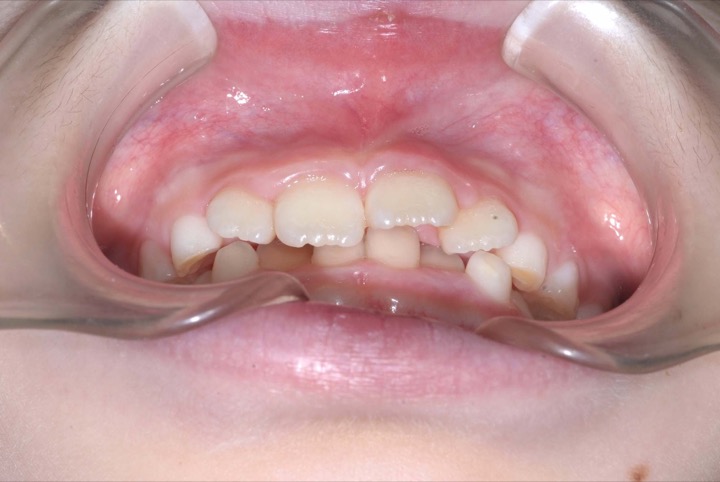
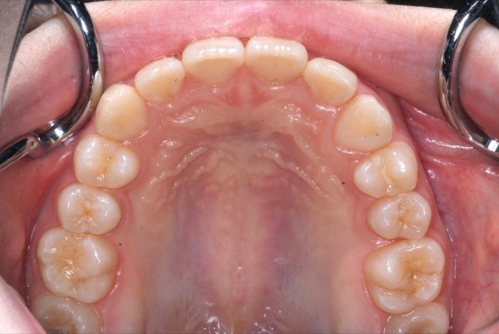
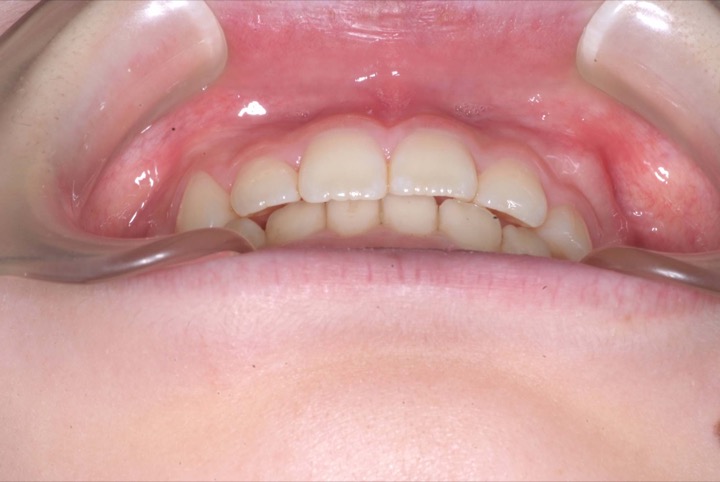
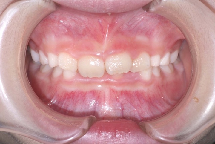
叢生(乱ぐい歯)
過蓋咬合(深いかみ合わせ)

初診時年齢9才の女子で上下顎前歯の部の乱ぐいを気にして来院されました。
検査の結果、叢生と過蓋咬合を伴うアングルⅠ級不正咬合と診断しました。
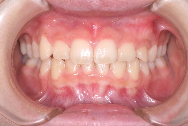
前期治療は、非抜歯の上、マウスピース型矯正装置(インビサライン・ファースト)で行いました。その後、歯列矯正用咬合誘導装置(マイオブレース)で舌位の改善を行いました。治療期間は5年1ヶ月でした。通院回数:37回。
歯列矯正を始めるに当たって、後戻り・失活・虫歯(歯周病)・歯根吸収・ブラックトライアングル・歯肉退縮・顎関節症などのリスクがあることを説明し、患者さんには十分ご理解頂いた上で治療を行いました(以下もご覧ください)。
費用 基本料金:460,000円 調節料:5,000円/月
※記載している治療費用は、治療当時の価格(税抜価格表示)となります。現在の費用は治療費のページでご確認くださいませ。