ID:617
叢生(乱ぐい歯)
叢生(乱ぐい歯)

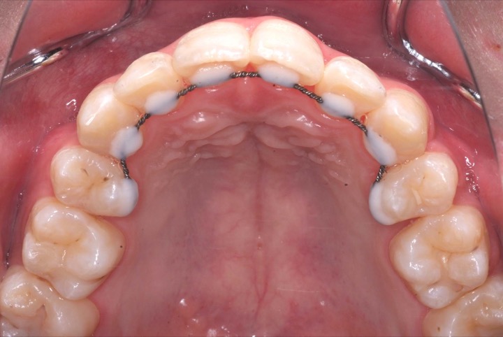
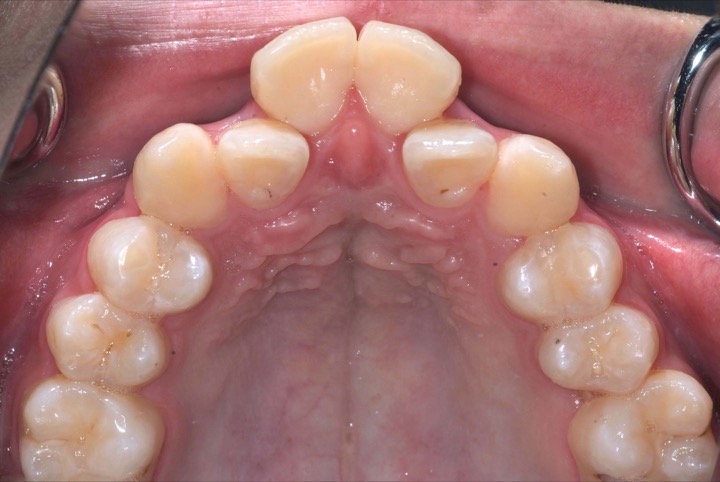
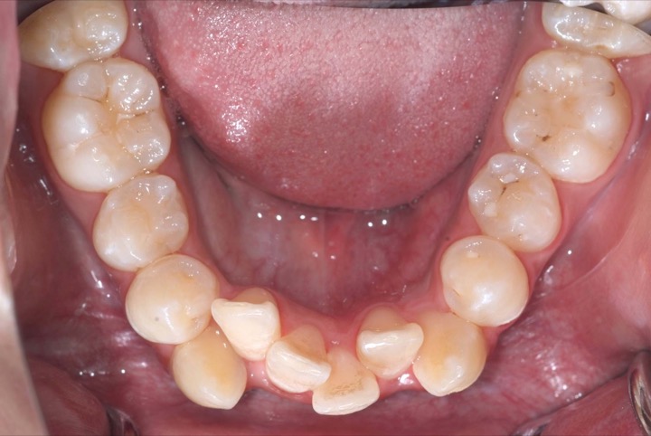
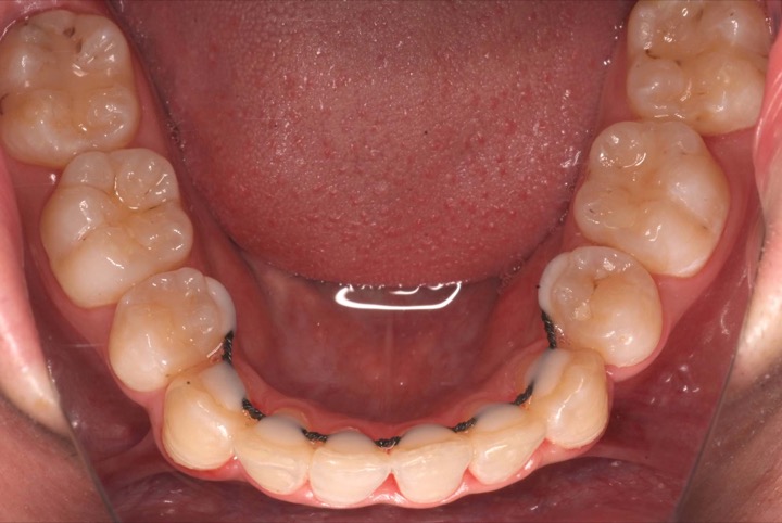
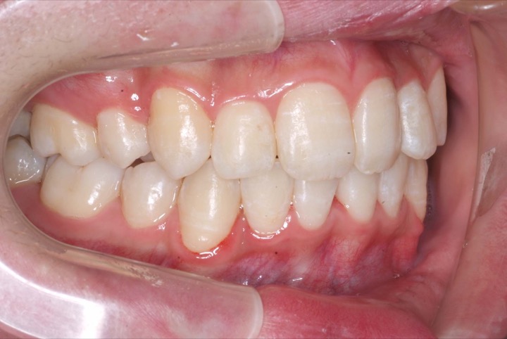
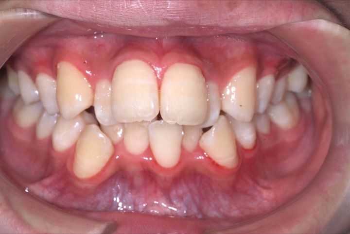
初診時年齢16才の男性で、上下歯列の乱ぐいを気にして来院されました。
検査の結果、上下顎前歯部の叢生を伴うアングルⅠ級不正咬合と診断しました。
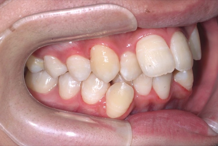
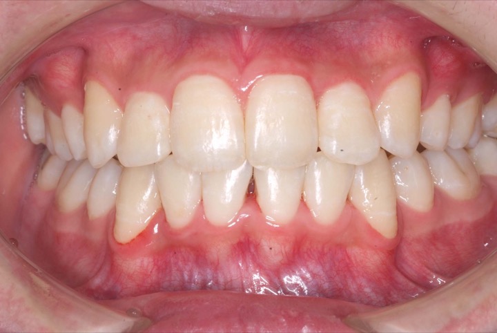
治療は、上下左右4番を抜歯の上、セルフライゲーションブラケット装置(デーモンシステム)で行いました。治療期間は2年1ヶ月でした。通院回数:22回。
歯列矯正を始めるに当たって、後戻り・失活・虫歯(歯周病)・歯根吸収・ブラックトライアングル・歯肉退縮・顎関節症などのリスクがあることを説明し、患者さんには十分ご理解頂いた上で治療を行いました(以下もご覧ください)。
費用 基本料金:700,000円 調節料:5,000円/月
※記載している治療費用は、治療当時の価格(税抜価格表示)となります。現在の費用は治療費のページでご確認くださいませ。